Đo độ mờ da gáy có biết trai hay gái là một chủ đề đang được các mẹ bầu bàn luận nhiều. Hầu hết đối với bất cứ mẹ bầu nào đều được các bác sĩ yêu cầu đo độ mờ da gáy để phát hiện những dị thât. Những việc biết được là nam hay nữ có thông qua hình thức này được không. Hãy cùng nghe các chuyên gia giải đáp, phân tích sau đây.

Đo độ mờ da gáy là gì? Bạn đã hiểu rõ chưa?
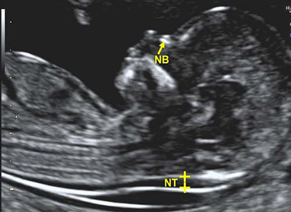
Đo độ mờ da gáy có biết trai hay gái? Để có được thông tin chính xác nhất thì trước hết bạn cần phải tìm hiểu về đo độ mờ da gáy nghĩa là như thế nào? Đây là một thuật ngữ các bác sĩ sử dụng khi siêu âm cho thai nhi và đo độ mờ ở phần da gáy của thai. Tại sao lại đo da gáy mà không phải vị trí khác? Bởi, da gáy của thai nhi luôn kết tụ những dịch của vùng cổ da mặt thai nhi. Dựa vào việc đo chỉ số mờ da gáy này mà các bác sĩ sẽ biết được nguy cơ về các dị tật bẩm sinh trong đó có hội chứng Down mà bé có thể gặp phải.
Trường hợp, khi siêu âm mà các bác sĩ đo độ mờ da gáy mà kết quả không bình thường. Lúc này các chuyên gia sẽ yêu cầu các mẹ thực hiện các xét nghiệm khác để có được kết quả chính xác nhất. Đo độ mờ da gáy của thai nhi thường được chỉ định thực hiện ở tuần thai thứ 11 đến 14 của thai kỳ. Mẹ bầu làm xét nghiệm quá sớm cũng không được vì lúc này da gáy sẽ rất mờ và không có được sự chính xác.
Nếu các mẹ thực hiện việc siêu âm quá muộn trên 14 tuần thì các bác sĩ sẽ không thể phát hiện được bất thường. Bởi thời điểm tuần 14 trở đi thì các chỉ số đã bình thường trở lại.
Đo độ mờ da gáy có biết trai hay gái? Giải đáp chi tiết khoa học
Vấn đề đo độ mờ da gáy có biết trai hay gái luôn làm nhiều mẹ bầu thắc mắc. Tuy nhiên, theo giải thích và chia sẻ của các chuyên gia cho rằng từ trước tới nay chưa có bất cứ một nghiên cứu nào chỉ ra rằng việc siêu âm đo độ mờ da gáy mà biết được trai hay gái. Việc làm này chỉ có tác dụng để phát hiện những bất thường dị tật bẩm sinh của các bé.
Như vậy, mẹ nào còn băn khoăn đo độ mờ da gáy có biết trai hay gái thì câu trả lời là KHÔNG. Chúng không có khả năng để biết được trai hay gái. Độ mờ của da gáy càng thấp càng tốt và các bà mẹ sẽ không phải lo lắng gì. Còn để biết được là bé trai hay gái thì có thể có nhiều cách khác nhau.
Các hình thức để nhận biết thai nhi là trai hay gái

Một lần nữa khẳng định rằng đo độ mờ da gáy có biết trai hay gái. Dĩ nhiên là không mà cần thực hiện những hình thức khác để biết được. Một số hình thức để nhận biết các bạn có thể áp dụng như sau:
Đo độ mờ da gáy có biết trai hay gái? Xác định qua hình thức siêu âm
Hình thức đầu tiên mà các mẹ có thể thực hiện đó chính là siêu âm. Với hình thức này các bác sĩ siêu âm với kinh nghiệm và chuyên môn của mình sẽ nhìn rõ được bộ phận sinh dục của thai nhi. Tuy nhiên, có một điều các cha mẹ nên biết. Thường vào khoảng tuần thứ 12 bộ phận sinh dục của bé đã hình thành và thời điểm này khi siêu âm sẽ nhìn ra được thai nhi là trai hay gái. Tuy nhiên, thời điểm này cũng rất mờ. Nếu bác sĩ tay nghề chưa cao thì có thể nhìn chưa rõ và dẫn đến phán đoán sai lầm. Để biết chính xác nhất thì từ tuần 14 trở đi các bác sĩ sẽ nhìn thấy rõ ràng bộ phận sinh dục của thai nhi.
Đo độ mờ da gáy có biết trai hay gái? Cần phải xác định qua phương pháp chọc ối
Bên cạnh siêu âm để biết trai hay gái thì chọc ối cũng là một phương pháp nhiều mẹ lựa chọn. Đây là phương pháp xét nghiệm xâm lấn. Với cách làm này thì thời gian khá lâu vào khoảng nửa tiếng mới biết kết quả. Nhưng khi thực hiện chọc ối thì xác định nam nữ chính xác tới 100%.
Tuy nhiên, thường các bác sĩ không đồng ý để các mẹ thực hiện việc này. Bởi chúng mang đến những rủi ro không đáng có. Thậm chí nhiều mẹ bị sảy thai dù tỉ lệ là rất nhỏ nhưng vẫn không được khuyến khích sử dụng.
Đo độ mờ da gáy có biết trai hay gái? Thông qua xét nghiệm ADN
Phương pháp tiếp theo để có thể xác định được thai nhi là trai hay gái là thông qua việc xét nghiệm ADN cho thai nhi. Đây là phương pháp chính xác 100% nhưng ít mẹ lựa chọn bởi chúng mất chi phí khá là lớn và thời gian chờ đợi kết quả cũng khá lâu.
Để thực hiện phương pháp này thì chỉ cần thai nhi được 10 tuần tuổi là có thể thực hiện. Các bác sĩ chuyên khoa sẽ thực hiện việc lấy máu của người mẹ và tế bào của thai nhi để kiểm tra sự hiện diện của nhiễm sắc thể Y hay không. Nếu không có nhiễm sắc thể này thì các mẹ đang mang trong mình một thai nhi bé gái và ngược lại.
Độ mờ da gáy của thai như thế nào thì mẹ an tâm
Như vậy, đo độ mờ da gáy có biết trai hay gái không? Chắc chắn là không mà sẽ biết được thai nhi có mắc hội chứng down hoặc một số dị tật bẩm sinh hay không. Vậy, độ mờ da gáy như thế nào thì mẹ có thể an tâm với thai nhi của mình.

Khi chị em thực hiện siêu âm thì lúc này hình ảnh thai nhi sẽ được các bác sĩ phóng to. Sau khi đo các thông số cơ thể chiều dài của thai nhi thì đo độ mờ da gáy với da của bé là màu trắng và khoảng mờ đó chính là màu đen. Trường hợp các mẹ đo độ mờ da gáy của thai nhi ở tuần thứ 11 nếu chúng là khoảng 2mm thì mẹ an tâm. Còn nếu ở tuần 13 thì độ mờ da gáy đạt tiêu chuẩn là 2,8mm còn ở tuần tiếp theo thì chúng sẽ lớn hơn 3mm.
Tuy nhiên, có điều các mẹ cần phải lưu ý đó chính là không phải cứ độ mờ da gáy bất thường là bé bị mắc hội chứng down. Mà cần phải phụ thuộc vào những xét nghiệm sàng lọc khác. Thực tế có những trường hợp thai nhi với độ mờ da gáy lớn nhưng không bị dị tật. Vì vậy, các mẹ hãy thực hiện theo những chỉ dẫn của bác sĩ để có được sự an toàn cho thai nhi và mẹ sẽ an tâm hơn trong suốt hành trình mang thai.
Nên khám thai và đo độ mờ da gáy ở đâu?
Việc khám thai định kỳ trong suốt thai kỳ là một vấn đề rất quan trọng và cần thiết với các mẹ bầu để nắm được từng giai đoạn phát triển của thai nhi. Tuy nhiên, khám thai ở đâu là nhiều mẹ còn lo lắng. Bởi hiện nay các phòng khám mọc lên rất nhiều nhưng đâu phải phòng khám nào cũng có tay nghề cao. Nếu vào trong bệnh viện thì thời gian chờ đợi khiến các chị em mệt mỏi.
Tốt nhất các chị em nên tìm đến những phòng khám lớn, uy tín, được nhiều chị em lựa chọn ở gần nơi mình sinh sống. Tránh chọn lựa quá xa vì sẽ ảnh hưởng đến việc di chuyển. Thậm chí nếu có đều rủi ro trong quá trình thai kỳ cũng dễ dàng cấp cứu kịp thời. Nếu chị em ở HCM ở khu vực quận 10 hoặc những quận gần đó thì một địa chỉ không nên bỏ lỡ đó chính là phòng khám bác sĩ Điệp.
Phòng khám bác sĩ nằm ở quận 10 ở con đường huyết mạch của quận là 271 Nguyễn Duy Khương. Phòng khám với quy mô lớn rất nhiều đội ngũ bác sĩ tất cả đều là những bác sĩ chuyên sản phụ khoa nhiều năm kinh nghiệm. Đứng đầu là bác sĩ Điệp – một bác sĩ đầu ngành khoa sản của bệnh viện Từ Dũ. Bác sĩ Điệp đang công tác ở nhiều vị trí cao cấp khác nhau trong bệnh viện.
Sự ra đời của phòng khám nhằm mang lại cho chị em một địa chỉ khám chữa bệnh tốt nhất mà không phải chờ đợi lâu như trong bệnh viện. Các mẹ bầu khi khám ở đây sẽ có được cho mình những thông tin chính xác và những lời tư vấn hữu ích nhất để an tâm dưỡng thai trong suốt thai kỳ. Là một phòng khám cao cấp với chất lượng dịch vụ khám chữa bệnh hàng đầu nhưng giá thành thì lại rất bình dân. Vì vậy, bất cứ chị em phụ nữ nào đến phòng khám cũng phải hoàn toàn an tâm sử dụng dịch vụ.



Như vậy, đo độ mờ da gáy có biết trai hay gái? Một lần nữa khẳng định lại đó chính là không. Để biết được các chị em cần phải thực hiện những biện pháp khác phổ biến nhất đó chính là siêu âm. Nếu chị em ở khu vực quận 10 HCM hoặc những khu vực lân cận cần khám chữa bệnh thì hãy đến ngay với phòng khám bác sĩ Điệp. Nơi đây sẽ giúp cho mẹ bầu có một thai kỳ khỏe mạnh và thai nhi phát triển toàn diện một cách tốt nhất.
Hotline: 0335 155 192
