Siêu âm canh trứng để làm gì? Có ảnh hưởng gì không? Đây là phương pháp được ứng dụng nhiều trong điều trị vô sinh – hiếm muộn ở nữ giới. Và để trả lời cho những thắc mắc về siêu âm canh trứng, hãy cùng tìm đến bác sĩ Phạm Thị Ngọc Điệp của Bệnh viện Từ Dũ để tìm câu trả lời.
Siêu âm canh trứng là làm gì? Mục đích của việc làm này
Bác sĩ Phạm Thị Ngọc Điệp tốt nghiệp chuyên khoa sản – phụ khoa ĐH Y dược TPHCM, đã có gần 30 năm kinh nghiệm và hiện đang công tác tại Bệnh viện Từ Dũ. Là người đã thực hiện hỗ trợ cho nhiều ca vô sinh – hiếm muộn nên hơn ai hết, bác sĩ Điệp hiểu rất rõ về các phương pháp điều trị.
Trong đó, siêu âm canh trứng là phương pháp phổ biến nhất ở những cặp vợ chồng bị hiếm muộn, khi khám sức khỏe sinh sản bình thường nhưng lại khó thụ thai.
Siêu âm canh trứng là làm gì?
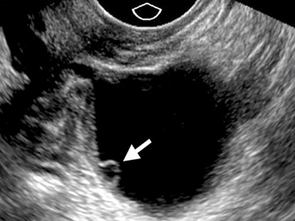
Theo chia sẻ từ bác sĩ Phạm Thị Ngọc Điệp, siêu âm canh trứng là phương pháp theo dõi sự phát triển của nang trứng bằng đầu dò hoặc siêu âm ổ bụng. Phương pháp này được thực hiện từ ngày thứ 9 đến ngày thứ 17 của chu kỳ kinh nguyệt.
Chu kỳ kinh nguyệt sẽ được chia ra thành 2 giai đoạn là giai đoạn nang và giai đoạn hoàng thể. Ở giai đoạn nang, trứng có kích thước ban đầu khoảng 4mm và phát triển đến 10 – 12mm ở ngày thứ 7 – 8 của chu kỳ kinh nguyệt. Đến giữa chu kỳ tức ngày thứ 14, nang trứng có thể đạt đến 18 – 20mm. Khi trứng đạt kích thước 20 – 28mm là lúc trứng đã sẵn sàng để rụng.
Đến giai đoạn hoàng thể, 1 hoặc 2 nang trứng trưởng thành sẽ rụng để chuẩn bị cho quá trình thụ thai nếu gặp tinh trùng.
Việc siêu âm canh trứng giúp bác sĩ theo dõi và đo kích thước trứng để biết trứng đã trưởng thành hay chưa, chẩn đoán thời điểm trứng rụng. Khi xác định được khi nào trứng sẽ rụng sau khi siêu âm, bác sĩ sẽ tư vấn ngày giao hợp để tăng tỷ lệ thụ thai.

Mục đích
Ở phụ nữ bình thường, trứng sẽ rụng vào giữa chu kỳ kinh nguyệt, tức là sau khi kết thúc giai đoạn nang và bắt đầu giai đoạn hoàng thể. Tuy nhiên, ở một số người, thời điểm rụng trứng có thể đến sớm hoặc muộn hơn.
Có rất nhiều chị em sau khi kết hôn, mặc dù không dùng bất cứ biện pháp tránh thai nào nhưng sau 6 tháng – 1 năm vẫn không thể có thai. Khi thực hiện siêu âm canh trứng thì phát hiện ra trứng rụng muộn hơn bình thường. Vì vậy mà những phương pháp canh trứng rụng truyền thống không có tác dụng.
Có thể nói, mục đích của siêu âm là giúp theo dõi sự phát triển của trứng, canh thời điểm trứng rụng để tăng tỷ lệ thụ thai. Phương pháp này thường được chỉ định trong những trường hợp hiếm muộn.
Quá trình siêu âm canh trứng diễn ra trong bao lâu?
Đối với những chị em có chu kỳ kinh nguyệt không đều, quá trình siêu âm canh trứng cần được thực hiện trong 3 – 4 chu kỳ kinh nguyệt. Bác sĩ sẽ theo dõi chu kỳ rụng của trứng để biết trứng có rụng hay không, rụng vào thời điểm nào.

Mỗi lần siêu âm có thể kéo dài 10 – 15 phút bằng phương pháp siêu âm canh trứng đầu dò hoặc siêu âm ổ bụng.
– Siêu âm canh trứng bằng đầu dò thực hiện qua ngã âm đạo, thường được chỉ định trong trường hợp nang trứng chưa trưởng thành, kích thước còn nhỏ. Siêu âm đầu dò cũng được sử dụng nhiều hơn bởi nó cho kết quả chính xác hơn, đồng thời quan sát được cả tử cung, buồng trứng.
– Siêu âm trên bụng: Quan sát sự phát triển của trứng bằng cách siêu âm quan thành bụng. Mặc dù cũng là phương pháp siêu âm canh trứng nhưng ít được sử dụng, nhất là với những người có thành bụng dày rất khó quan sát được hệ thống sinh sản bên trong.
Siêu âm canh trứng có ảnh hưởng gì không?
Theo bác sĩ Phạm Thị Ngọc Điệp chia sẻ, siêu âm canh trứng không gây ra bất cứ nguy hại hay ảnh hưởng gì cho các chị em. Tuy nhiên, không phải ai cũng có thể thực hiện siêu âm.
Việc siêu âm chỉ được chỉ định đối với những chị em có nhu cầu mang thai nhưng không xác định được thời điểm trứng rụng. Họ không dùng bất cứ biện pháp tránh thai nào nhưng không thể thụ thai do rối loạn chu kỳ rụng trứng.
Quá trình siêu âm canh trứng sẽ mất rất nhiều thời gian. Vì vậy, dù không ảnh hưởng gì tới sức khỏe nhưng các chị em cũng có phần mệt mỏi khi phải đi siêu âm liên tục trong nhiều ngày.

Hơn nữa, quá trình siêu âm canh trứng cần phải được thực hiện tại cơ sở y tế chuyên khoa, có bác sĩ giàu kinh nghiệm thực hiện. Như vậy mới có thể đảm bảo được tính chính xác và an toàn. Nhất là khi thực hiện siêu âm qua ngã âm đạo bằng đầu dò.
Trong trường hợp cần làm siêu âm, các chị em có thể đến các bệnh viện chuyên sản phụ khoa như Bệnh viện Từ Dũ, Bệnh viện Hùng Vương… Ngoài ra, nếu có nhu cầu thực hiện siêu âm ngoài giờ, có thể đến phòng khám sản phụ khoa của bác sĩ Phạm Thị Ngọc Điệp.
Việc siêu âm canh trứng cần nhiều thời gian để thực hiện cũng như cần sự tư vấn từ bác sĩ. Vì vậy, rất nhiều chị em đã lựa chọn và tìm đến phòng khám của bác sĩ Điệp.
Vì sao nên siêu âm tại phòng khám bác sĩ Điệp?
Với kinh nghiệm và trình độ chuyên môn cao, phòng khám sản phụ khoa của bác sĩ Phạm Thị Ngọc Điệp đã không còn xa lạ với nhiều chị em. Phòng khám nằm tại 271 Nguyễn Duy Dương, Phường 4, Quận 10 và là địa chỉ khám sản, phụ khoa được nhiều người tin tưởng.
Với đội ngũ bác sĩ, nhân viên y tế được đào tạo chuyên môn và có kiến thức, kinh nghiệm y khoa, các chị em có thể hoàn toàn yên tâm khi cần siêu âm.
Tại đây, quá trình siêu âm được thực hiện bởi những thiết bị, máy siêu âm hiện đại nhất. Với hình ảnh siêu âm sắc nét giúp bác sĩ quan sát được sự phát triển của nang trứng cũng như đưa ra chẩn đoán chính xác.
Ngoài siêu âm canh trứng, trong quá trình siêu âm, bác sĩ cũng sẽ phát hiện ra được những dấu hiệu bất thường trong tử cung, buồng trứng. Từ đó, có thể tìm ra nguyên nhân gây hiếm muộn, ảnh hưởng tới chu kỳ rụng trứng và có phương pháp điều trị thích hợp.
Để tiết kiệm thời gian cho người bệnh, phòng khám bác sĩ Điệp có hệ thống tư vấn và đặt hẹn trực tuyến qua fanpage: https://www.facebook.com/Sanphukhoatudu.bsdiep/ hoặc liên hệ hotline 0335 155 192. Với các bước đặt hẹn đơn giản, thủ tục được rút gọn không cần phải chờ đợi lâu, các chị em có thể chủ động sắp xếp công việc để thăm khá,.
Không chỉ nổi tiếng là “mát tay” trong khám và điều trị vô sinh – hiếm muộn, bác sĩ Điệp còn được tin tưởng bởi chuyên môn trong:
– Khám và điều trị các bệnh lý phụ khoa ở mức độ nhẹ và nặng, từ viêm nhiễm phụ khoa đến các bệnh u xơ tử cung, u nang buồng trứng, viêm tắc vòi trứng…
– Khám thai và theo dõi thai kỳ và tư vấn sức khỏe cho thai phụ, phát hiện thai nhi bất thường và đưa ra phương pháp can thiệp kịp thời.
– Chẩn đoán và tầm soát ung thư cổ tử cung, ung thư vú
– Trực tiếp thực hiện các phương pháp kế hoạch hóa gia đình: đặt vòng tránh thai, cấy que tránh thai…
Qua những chia sẻ từ bác sĩ Phạm Thị Ngọc Điệp, mong rằng các chị em đã hiểu hơn về phương pháp siêu âm canh trứng trong điều trị vô sinh – hiếm muộn. Để được tư vấn rõ hơn về các bước siêu âm, hãy liên hệ ngay với phòng khám bác sĩ Điệp nhé.
